POINT
1
緻密な検査・診断・治療計画
口腔内検査、口腔内写真撮影、歯形とり、レントゲン撮影、CT撮影などの精密な検査をおこない、精密検査の結果をもとに診断して、治療計画を立てます。
CT画像を用いて3Dプリンターで再現した顎骨模型を使用し、立体的なシュミレーションをおこないます。


「自分の歯と同じように、おいしくを食事したい」
「自分の歯と同じような、美しい歯にしたい」
歯を失われた方は、そのように思われるのではないでしょうか?
インプラントは、フィクスチャーと呼ばれるインプラント体(チタン性の金属)を
失われた歯があった顎の骨の中に埋め込み、
その土台の上に咬み合わせを再現する治療法のことです。
入れ歯やブリッジと違い、周囲の歯に負担をかけることなく、
自分の歯と同じようにしっかり咬むことができますので、
「第2の永久歯」とも言われています。
やまて歯科の
インプラント治療
4つの特徴
POINT
1
口腔内検査、口腔内写真撮影、歯形とり、レントゲン撮影、CT撮影などの精密な検査をおこない、精密検査の結果をもとに診断して、治療計画を立てます。
CT画像を用いて3Dプリンターで再現した顎骨模型を使用し、立体的なシュミレーションをおこないます。

POINT
2

インプラント治療は無菌的に行う治療です。使用する器具は全て減菌処置し、手術時にドクター、メインアシスタントは完全に減菌された手術衣、グローブを装着します。清潔域(無菌的な部分)以外、触れることはありません。
また、クリーンな環境の整ったオペ室を使用しますので、粉塵やほこりが舞うようなこともありません。
POINT
3
インプラントは、かぶせ物が装着されたら終了というわけではありません。インプラントは、正しいブラッシングを行い、定期的に咬み合わせの確認をして、メンテナンス(清掃)をおこなうことが長く使っていただく秘訣です。これらを怠ると、インプラント周囲炎が生じてしまいます。やまて歯科では、そのようなことにならないよう、インプラントをされた患者様には、お一人お一人に予防プログラムをお作りしています。せっかくインプラントをされたのですから、長持ちさせて欲しいと考えております。

POINT
4

やまて歯科ではインプラント治療をされた方に、10年間の保障期間を設けております。
もし、10年以内に不具合が生じるようなことがあれば、無償で処置させていただきます。
●保障の条件
・担当医がおすすめした間隔で、
定期健診・メンテナンスを行っていただく。
・ご自宅でしっかりケアしていただく。
・事故や全身疾患などが原因ではない。
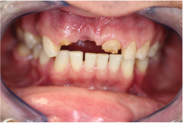
CASE1
前歯へインプラントを埋入し、セラミック冠で修復したケース
●治療担当:鈴木 ●治療期間6ヶ月
BEFORE


前歯、前歯にインプラントを埋入しました。
AFTER

【正面観】
セラミック冠で修復しました。全体的にも調和がとれています。

【咬合面観】
天然歯とインプラントの並びも整っています。
CASE2
前歯へインプラントを埋入し、セラミック冠で修復したケース
●治療担当:鈴木 ●治療期間6ヶ月
BEFORE

前歯が無い状態です。
AFTER

インプラント埋入後、3本装着したセラミックの調和がとれています。天然歯とインプラントの並びも整っています。
CASE3
奥歯へインプラントを埋入し、セラミック冠で修復したケース
●治療担当:鈴木 ●治療期間4ヶ月
BEFORE

奥歯が1本無い状態です。
AFTER

機能面、見た目ともに回復!
美濃加茂市・可児市・関市・各務原市・犬山市の
歯医者・歯科医院なら、美濃加茂市のやまて歯科へ。






















