POINT
1
矯正を専門におこなう
歯科医師による矯正治療
やまて歯科では確かな矯正技術の目安として、「日本矯正歯科学会認定医」による矯正治療をおこなっております。

専門性の高い

矯正治療は、歯科治療の中でも特に専門性の高い分野です。
やまて歯科の矯正治療は臨床経験19年(平成30年現在)の日本矯正歯科学会指導医による治療です。
やまて歯科の矯正治療5つの特徴
POINT
1
矯正を専門におこなう
歯科医師による矯正治療
やまて歯科では確かな矯正技術の目安として、「日本矯正歯科学会認定医」による矯正治療をおこなっております。

POINT
2

定期クリーニングの実施
矯正治療中は、清掃状態が悪くなりむし歯になりやすいため、やまて歯科では定期的にクリーニングをおこない、お口の健康を守ります。
POINT
3
むし歯治療もできる環境
矯正治療中にむし歯ができることもあります。
やまて歯科では矯正治療の際にむし歯治療ができる環境が整っています。

POINT
4

矯正医ネットワークの充実
矯正治療中はある程度期間がかかりますので、進学・引越し・結婚などの予定を考慮してから始めましょう。
もし治療中に引越しなどで通院できなくなる場合は、専門医と矯正医のネットワークで全国各地にご紹介いたします。
POINT
5
分割払いが可能
治療費は自費治療となります。
やまて歯科では患者様の負担を少しでも軽減できるよう、分割払いにも対応しております。

やまて歯科
4つの矯正治療方法
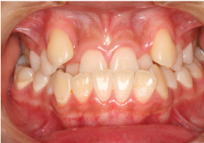
CASE1
反対咬合(上下の歯が反対に咬んでいる)
●治療担当:増岡
BEFORE
前歯の咬み合わせが深く、歯が並ぶスペースがありません。
AFTER
歯列のアーチを広げることで、抜歯せずに理想的な歯並びになりました。
CASE2
開咬(上下の前歯が咬み合わず、奥歯だけで咬んでいる)
●治療担当:増岡
BEFORE
上下の前歯が咬み合わず、奥歯だけで咬んでいる状態です。
AFTER
歯列のアーチを広げることで、抜歯せずに理想的な歯並びになりました。
CASE3
叢生(スペース不足のため、歯がデコボコに並んでいる)
●治療担当:増岡
BEFORE
スペース不足のため、デコボコに並んでおり、奥歯の咬み合わせ位置にも問題があります。
AFTER
咬み合わせ位置の改善と、理想的な歯並びが再現できました。
美濃加茂市・可児市・関市・各務原市・犬山市の
歯医者・歯科医院なら、美濃加茂市のやまて歯科へ。






















